Before & After Dental Cases – Topeka, KS

Examples of How We Have Transformed Topeka Smiles

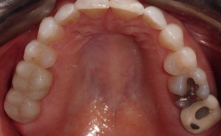
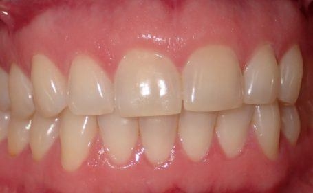
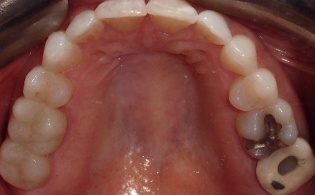
Our practice has a long history of transforming Topeka smiles with a variety of restorative and cosmetic services. Patients with severely damaged, aesthetically imperfect, or even missing teeth have been able to grin with complete confidence again thanks to our work, and you can see the proof for yourself by looking at our smile gallery below. These before-and-after photos of real patients will give you an idea of what to expect when you seek dental care from us!

 

Before
After
Before
After
Before
After
Before
After
Before
After
Before
After
Before
After
Before
After
Before
After
Before
After
Before
After
Before
After